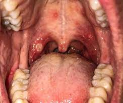
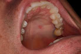
Allergic Reaction Bumps On Roof Of Mouth. STDs like Herpes and HIV infection. A bump on roof of mouth or palate can either be cancerous or non-cancerous. It could be allergies. If it is many bumps then it is an allergic reaction.
In this case lichen planus produces a similar small itchy bump on the roof of mouth which is also confused with an allergic reaction bump. Oral symptoms such as itching and tingling in the mouth and throat and slight swelling in the lips can occur within seconds or minutes of putting the food in the mouth. Sometimes it also comes with other symptoms like watery eyes sneezes dry cough itching inside the ears and swelling in the throat or lips. It can be just a small reaction or an indicator of a life-threatening condition. When you have oral allergy syndrome certain fresh fruits nuts and vegetables can trigger an allergic reaction in the mouth and throat because of proteins with a similar structure to pollen. While you could simply stop eating bananas and be safe it is best to have any severe food reaction properly diagnosed in this case i.
Roof of your mouth pain could be due to inflammation from infection or an allergic reaction or may be caused by irritants like smoking dental trauma or eating certain foods.
Roof of mouth pain questionnaire Use our free symptom checker to find out whats causing your pain. Pain can also happen from irritants like dental trauma smoking or eating certain foods. Signs of an allergic reaction often are present in the mouth and tongue and also can even reach the throat. If it is one bump in the same place you probably have a block salivary gland yes they are all over your mouth–even the roof of the mouth. Roof of mouth pain questionnaire Use our free symptom checker to find out whats causing your pain. While you could simply stop eating bananas and be safe it is best to have any severe food reaction properly diagnosed in this case i.