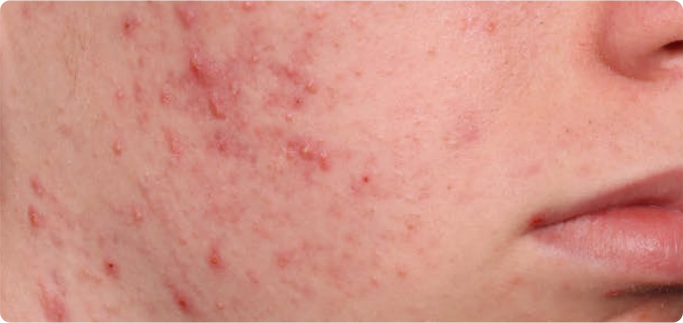
Allergic Reaction To Clindamycin Phosphate And Benzoyl Peroxide Gel. It kills the bacteria and promotes the growth of new skin cells. Excessive or prolonged exposure to sunlight should be limited. Applies to benzoyl peroxideclindamycin topical. â Excessive or prolonged exposure to sunlight should be limited.
To minimize exposure to sunlight a hat or other clothing should be worn. Benzoyl peroxide works through several mechanisms. Clindamycin Phosphate and Benzoyl Peroxide Gel 125 may cause irritation such as erythema scaling itching or burning especially when used in combination with other topical acne therapies. What Are Side Effects of Duac. Read the entire FDA prescribing information for Acanya Clindamycin Phosphate 12 and Benzoyl Peroxide 25. Carbomer 980 dimethicone 100 disodium lauryl sulfosuccinate disodium edetate glycerol silicon dioxide poloxamer purified water sodium hydroxide.
Or to clindamycin.
Had inflammation of the colon or severe diarrhea with past antibiotic use. Clindamycin Phosphate and Benzoyl Peroxide Gel 1225 may cause irritation such as erythema scaling itching or burning especially when used in combination with other topical acne therapies. Eichenfield LF Alió Sáenz AB. 41 Hypersensitivity DUAC Gel is contraindicated in those individuals who have. A phase 3 multicenter randomized double-blind active- and vehicle-controlled study. Before using this medication tell your doctor or pharmacist if you are allergic to benzoyl peroxide.